올세라믹
치아 삭제가 많은 올세라믹, 신중하게 결정하세요.
치아를 360˚ 돌려 깎아 손상된 부위를 모두 제거 후 도자기 재질의 크라운을 씌워 형태를 회복하는 치료입니다. 외상으로 치아가 1/3 이상 파절된 경우, 충치로 앞니에 신경치료가 필요한 경우, 치아가 지나치게 크거나 돌출된 경우 올세라믹으로 치료할 수 있습니다.
올세라믹은 치아 삭제량이 많아 통증이나 시린이 증상이 나타날 수 있어, 단순히 예뻐지려는 목적을 가지고 계신다면 올세라믹 보다는 라미네이트를 권해드립니다.
원데이 올세라믹 장점
치아를 다듬고 보철물을 새로 제작할 때까지 남아있는 치아는 감염에 취약해집니다. 일등플란트치과에서는 치아의 외부 노출 시간을 줄이기 위해 치아를 깎고 보철물을 제작한 뒤 씌우기까지를 빠르게 완성합니다. 짧게는 몇 달 길게는 몇 년이 걸리는 치아교정과는 다르게 긴 시간 투자 없이 바로 예뻐질 수 있다는 장점이 있습니다. 또한, 치아 색상과 흡사한 재료를 사용하기에 자연스럽습니다.
일등플란트의 치료 노하우
1:1 맞춤형 치료 계획 수립
자연치아는 삭제할수록 수명이 줄어드는 것이 사실입니다. 주로 고령으로 인한 치아 노화나 외상으로 심하게 손상된 치아에 권해드리며, 젊은 층의 환자분들은 부득이한 상황이 아닌 이상 권해드리지 않습니다. 일등플란트치과는 이러한 개인별 구강 상태와 나이, 상황을 고려하여 환자분의 상태에 적합한 치료 여부를 판단하고 시술을 결정합니다.
필요한 만큼만 섬세하게 치아 삭제
전체적인 구강구조, 치아 모양을 확인하기 위해 가장 먼저 본을 뜬 뒤, 치아 전면을 소닉라인으로 삭제합니다. 블리딩 부담 없이 마진 성형이 디테일하게 가능한 치아 성형 팁으로, 원하는 부분만 섬세하게 삭제 가능합니다. 삭제 후 임시치아를 장착합니다.
자체 기공실에서 맞춤형 크라운 제작
진단 결과를 토대로 치과 내 기공실에서 향상된 장비(One day MCXL & BLUE CAM)를 사용하여 치아 색상과 흡사한 크라운을 직접 제작합니다. 일등플란트치과의 세라미스트는 다년간의 시술 경험과 꾸준한 연구를 바탕으로 독자적인 노하우를 터득하여 섬세하게 제작하는 기술을 가지고 있습니다.
감염 걱정 없이 빠른 부착
치아 삭제 후 임시 치아를 씌우고 있다고 하더라도, 말 그대로 임시 치아이기 때문에 구강이 바깥으로 노출되는 부분이 있을 수 있어 감염에 취약해집니다. 일등플란트치과는 신속한 최종 보철물 부착을 목표로 건강하고 빠르게 치료를 완성합니다.

올세라믹의 궁금점
올세라믹 시술 후 부작용이 있나요?
올세라믹 시술 후 부작용에는 신경 손상이 있습니다. 치아의 많은 부분을 삭제하기 때문에 뚜렷한 원인없이 신경이 죽는 경우가 발생할 수 있습니다. 그래서 통증은 느껴지지 않으나 치아 변색이나 뿌리에 고름이 생기는 등의 증상이 나타납니다. 또한, 치아 뿌리에 염증이 생겨 통증이 느껴지는 경우가 발생할 수 있습니다. 이때는 바로 내원하셔서 잇몸 속 염증을 제거하고 치아 뿌리 끝을 다듬어 세균 침투를 막는 시술이 필요합니다. 이처럼 올세라믹 시술을 잘 못 받는 경우 여러 부작용이 나타날 수 있으므로 경험과 노하우가 쌓인 시술자에게 시술받으시는 것이 좋습니다.
올세라믹 시술 후 바로 식사해도 되나요?
시술 후에는 최소 한 시간 이후에 식사하셔야 하며, 너무 뜨겁거나 차가운 음식이나 딱딱한 음식은 피하셔야 합니다. 또 보철물 사이에 음식물이 끼이지 않도록 꼼꼼한 양치질과 치실 사용이 중요합니다.
치료 케이스 보기

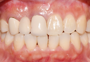
before

after

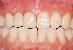
before

after

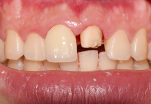
before

after

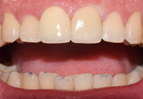
before

after