앞니 임플란트
아무도 모르게! 웃는 모습도 아름답게!
전치부, 흔히 앞니라 부르는 치아를 상실한 후 임플란트를 식립할 경우 기능적 회복도 중요하지만, 심미적 회복이 더욱 중요합니다.
앞니가 상실되어 임플란트를 식립하는 경우 단순 임플란트 식립에 그치는 것이 아니라 잇몸의 형태, 색조, 자연치와의 자연스런 조화 등 심미적인 부분이 만족스러워야 합니다.
자연스러운 앞니 임플란트를
위한 3가지 조건

앞니 임플란트는 보철물의 심미성만을 강조하지만 앞니 임플란트의 핵심은 식립 위치입니다. 치아가 빠지면 필연적으로 치조골의 흡수가 일어납니다. 특히 앞니의 겉면 치조골은 얇은 뼈의 특성상 흡수가 많이 일어납니다. 따라서 이를 고려하여 정확한 3D(전후, 좌우, 상하)식립이 이루어져야 하며, 반드시 골이식을 하여 겉면골의 높이가 유지되도록 하는 것이 중요합니다.
치조골 흡수를 방지하고,
예쁜 형태의 치아를 만들기 위해
정확한 위치에 임플란트를 식립한다.
반드시 임플란트 바깥쪽에
흡수가 더딘 인공뼈를 이식하여
바깥쪽 치조골의 흡수에 따른
문제를 방지한다.
일등플란트의 치료 노하우
CT촬영 및 영상촬영을 통한 정밀 진단
현재 치아의 상태를 정확하게 검진하는 것이 매우 중요합니다. 앞니는 잇몸뼈가 얇아서 치아를 제거하고 나면 잇몸뼈가 빨리 줄어들기 때문에, 가능하면 빠르게 진단하고 치료하는 것이 좋습니다. 일등플란트는 3차원 입체 영상을 볼 수 있는 3D CT를 이용하여 시술부 치조골의 단면 형태를 확인한 후 적절한 임플란트 위치와 방향을 결정합니다.
1:1 맞춤형 치료 계획 수립
전문 의료진이 직접 환자와 1:1 상담과 진료를 통해 치아의 상태와 환자분의 고민을 살피며, 검사결과를 면밀하게 분석하고 그 분석 결과를 토대로 환자 상태에 맞는 최적화된 진료 계획을 수립합니다.
AAID가 인정한 우수 의료진의 임플란트 식립
앞니 임플란트 시술 후 바깥쪽 치조골이 흡수 되어 잇몸의 높이가 변하는 것을 방지하려면 정확한 위치에 임플란트를 식립하여야 합니다. 미국치과 임플란트 학회(AAID) 인정의 한순일 대표원장이 다년간의 많은 임상경험 노하우를 바탕으로 뼈이식과 임플란트 식립을 직접 꼼꼼하게 진행하며, 원내 기공소에서 내 치아와 가장 가까운 새로운 치아를 수술 당일 구현할 수 있습니다.
원내 기공소에서 가장 자연스러운 보철물 완성
잇몸뼈에 심은 임플란트가 잇몸뼈에서 단단히 고정되면 인공치아 보철물을 올려 치아부분을 완성합니다. 일등플란트 치과는 병원 내에 별도의 기공소가 있어 나의 자연 치아와 가장 가까운 자연스러운 보철물을 빠르고 꼼꼼하게 제작합니다.

앞니 임플란트의 궁금점
앞니 임플란트 부작용이 있지 않나요?
앞니 임플란트는 식립 위치에 따라 2차 치조골 흡수 등의 부작용이 일어날 수도 있습니다. 일등임플란트는 3차원 시술법을 통한 정확한 진단과 시술 노하우로 부작용 없는 임플란트를 시술하여 드립니다.
앞니 임플란트 했을 경우 잇몸 모양이 바뀌진 않나요?
앞니 임플란트는 다른 부위와는 달리 기능성과 심미성 두가지 모두 완성해야 하는 임플란트 입니다. 원내 자체 기공실에서 보철을 꼼꼼하게 제작하여 나의 원래 치아와 가장 가까운 치아를 구현하고 필요한 경우 잇몸 성형을 통하여, 가장 자연스러운 임플란트 치아를 만듭니다.
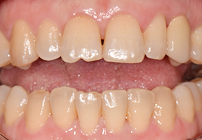
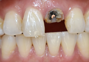
치료 케이스 보기

before

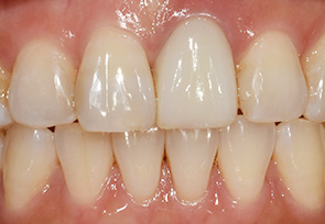
after

before

after