뼈 이식 임플란트
약해진 잇몸, 뼈 이식으로 단단하게!
임플란트에서 뼈 이식은 거의 대부분의 경우 필요합니다. 치아가 상실된 후 시간이 경과하면 치아를 지지하고 있는 치조골의 양과 질의 상태가 함께 나빠집니다. 이처럼 약해진 잇몸뼈에 임플란트 수술을 하게 되면 단단하게 고정이 되지 않기 때문에 임플란트 수술의 효과를 볼 수 없게 됩니다.
이때, 약해진 잇몸에 인공뼈 이식을 통하여 임플란트 식립이 가능하게 됩니다. 뼈의 밀도가 치밀하고 단단할 수록 임플라트의 성공률은 높아지기 때문에 뼈이식을 통하여 임플란트 시술 환경을 조성하게 됩니다.
뼈 이식, 어떤 뼈를 이식할까요?

임플란트 시술은 임플란트 시술부위 잇몸뼈가 최소 1mm 이상일 때 시술이 가능합니다. 하지만 임플란트 시술이 이루어지기에 충분하지 못할만큼 흡수가 일어나 잇몸뼈가 얇아지고 약해진 경우 ‘뼈 이식(골이식)’을 통해 임플란트에 적합한 뼈의 두께를 확보할 수 있습니다.
자가골 이식
시술 대상자 본인의 뼈를 사용하여 이식을 합니다. 발치한 치아, 사랑니 또는 하악골의 뼈를 사용하여 이식을 진행하며 본인 뼈를 이용한 시술이기에 신체거부반응이나 감염의 위험이 적은 것이 가장 큰 장점입니다. 자가골이 부족한 경우에 인조골(동종골, 이종골, 합성골)과 혼합하여 사용하기도 합니다.
동종골 이식
조직은행에서 기증받은 같은 인간의 뼈를 멸균처리하여 이식에 이용합니다.
이종골 이식
동물(주로 돼지나 소)로 부터 채취한 무기성분을 멸균처리하여 이식에 이용합니다.
합성골 이식
사람의 뼈와 구조가 유사하게 합성한 뼈로 기술이 많이 발달한 요즘 부작용 걱정을 줄이고 안전하게 시술이 가능합니다.
일등플란트의 치료 노하우
CT촬영 및 영상촬영을 통한 정밀 진단
현재 치아의 상태를 정확하게 검진하는 것이 매우 중요합니다. 치아가 소실 된 시간이 오래될 수록 잇몸 뼈의 소실량이 많아지기 때문에 임플란트를 식립할 수 있는 잇몸뼈의 양과 질을 철저하게 분석하는 것이 매우 중요합니다.
1:1 맞춤형 치료 계획 수립
전문 의료진이 직접 환자와 1:1 상담과 진료를 통해 치아의 상태와 환자분의 고민을 살피며, 검사결과를 면밀하게 분석하고 그 분석 결과를 토대로 환자 상태에 맞는 진료 계획을 수립합니다.
AAID가 인정한 의료진의 뼈이식 시술 및 임플란트 식립
미국치과 임플란트 학회(AAID)의 인정의(AF. Associate.Fellow)인 일등플란트치과의 한순일 대표원장이 다 년간의 많은 임상경험 노하우를 바탕으로 구강 상태에 따른 적합한 뼈이식을 통해 임플란트에 적합한 뼈의 두께를 확보한 후 식립을 합니다.
원내 기공소에서 자연스러운 보철물 완성
잇몸뼈에 심은 임플란트가 잇몸뼈에서 단단히 고정되면 인공치아 보철물을 올려 치아부분을 완성합니다. 일등플란트 치과는 병원 내에 별도의 기공소가 있어 나의 자연 치아와 가까운 자연스러운 보철물을 빠르고 꼼꼼하게 제작합니다.

뼈이식 임플란트의 궁금점
뼈 이식, 꼭 해야하나요?
뼈이식 이후 임플란트를 언제 심나요?
치조골의 상태에 따라서 임플란트 식립과 동시에 뼈 이식이 이루어질 수도 있고, 뼈 이식을 먼저 시행한 후 뼈가 단단히 생착되도록 2~3개월 기다린 후 임플란트를 식립할 수도 있습니다.
뼈 이식 수술하는데 많이 아플까요?
가장 중요한 기준은 환자분의 골 상태 및 전신상태와 관련이 있으며, 또한 치료 비용이 선택의 중요한 기준이 됩니다. 가철성 임플란트는 고정성 임플란트보다 비용은 저렴하지만 향후 유지/관리에 있어 자주 검사 받고 수리가 필요할 수 있습니다.
뼈 이식 수술 후 주의 사항은 무엇인가요?
수술 후 2주 동안은 초기 치유 기간으로 매우 중요합니다. 수술 당일은 피가 스며 나올 수 있으며 피가 난다고 해서 계속 침을 뱉으면 지혈에 방해가 되므로 삼가하시는 것이 좋습니다. 술, 담배는 필히 금하셔야 하며, 수술 후 2~3일간 통증이 지속될 수 있고 이런 경우 차가운 얼음 찜질은 부기와 통증을 감소시킬 수 있습니다. 수술 후 3일간은 심한 운동이나 뜨거운 샤워, 목욕 등은 피하세요. 봉합한 부위는 칫솔질 대신 가글 약으로 행궈주시고, 수술 부위로는 씹지말고 가능한 유동식을 드시는 것이 좋습니다.
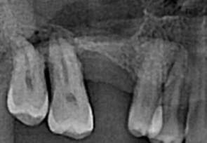
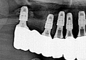
치료 케이스 보기

before
-
after

before
-
after

before
-
after